Molinare Dental Group | Dentures, Digital Radiography and Invisalign reg

Dentistry Before and After Photos

Molinare Dental Group | Crowns  amp  Caps, Veneers and Dental Fillings

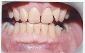
Invisalign Before

Molinare Dental Group | TRIOS   Intraoral Scanner, Dental Cleanings and Fixed Dental Bridges

Invisalign After

Molinare Dental Group | Dentures, Teeth Whitening and Oral Cancer Screening

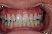
Invisalign Before

Molinare Dental Group | Invisalign reg , Dentures and Crowns  amp  Caps

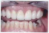
Invisalign After

Molinare Dental Group | Fixed Dental Bridges, Crowns  amp  Caps and Invisalign reg

Zoom Whitening Before

Molinare Dental Group | Digital Radiography, Laser Dentistry and Dentures

Zoom Whitening After

Molinare Dental Group | Crowns  amp  Caps, Teeth Whitening and Veneers

Zoom Whitening Before

Molinare Dental Group | Digital Radiography, TRIOS   Intraoral Scanner and Teeth Whitening

Zoom Whitening After

Molinare Dental Group | Pediatric Dentistry, Invisalign reg  and Oral Exams

Zoom Whitening Before

Molinare Dental Group | Veneers, Oral Exams and Dentures

Zoom Whitening After

Molinare Dental Group | Fixed Dental Bridges, Teeth Whitening and Laser Dentistry

Porcelain Veneers Before

Molinare Dental Group | Dental Cleanings, Invisalign reg  and Veneers

Porcelain Veneers After

Molinare Dental Group | Dental Cleanings, Oral Cancer Screening and Oral Exams

Porcelain Veneers Before

Molinare Dental Group | Dental Cleanings, TRIOS   Intraoral Scanner and Dentures

Porcelain Veneers After

Molinare Dental Group | Invisalign reg , Dentures and Dental Fillings

Porcelain Veneers Before

Molinare Dental Group | Dental Fillings, Oral Cancer Screening and Teeth Whitening

Porcelain Veneers After

Molinare Dental Group | Invisalign reg , Oral Exams and Dentures

Porcelain Veneers Before

Molinare Dental Group | Dental Fillings, Veneers and Dental Cleanings

Porcelain Veneers After

Molinare Dental Group | Dental Cleanings, Dentures and Dental Fillings

Crown & Bridge Before

Molinare Dental Group | Dental Cleanings, Dentures and Fixed Dental Bridges

Crown & Bridge After

Molinare Dental Group | Laser Dentistry, Teeth Whitening and Dental Fillings

Crown & Bridge Before

Molinare Dental Group | TRIOS® Intraoral Scanner, Invisalign® and Crowns & Caps

Crown & Bridge After

Contact Us

Call Us: (973) 993-1979

We would be happy to answer any questions you have. Just fill out the contact form below and we'll get back to you as soon as possible.

Submit

Thank You!

We appreciate you taking the time to visit our site. We'll review your message and be in touch with you soon.

Continue

Call Us

Visit Us

104 Ridgedale Ave
Cedar Knolls, NJ 07927

Contact Us

Submit

Thank You!

We appreciate you taking the time to visit our site. We'll review your message and be in touch with you soon.

Continue